Bọc răng sứ sai kỹ thuật có thể dẫn đến đau nhức, chết tủy, mất răng thật. Bài viết cảnh báo những rủi ro khi làm răng sứ không đúng chuẩn và cách phòng tránh biến chứng nghiêm trọng.

1. MỞ ĐẦU: KHI LÀM RĂNG SỨ KHÔNG CÒN LÀM ĐẸP NỮA MÀ LÀ ĐÁNH ĐỔI
Răng sứ từng được xem là giải pháp hoàn hảo giúp phục hình và cải thiện thẩm mỹ răng nhanh chóng. Tuy nhiên, không ít trường hợp “làm đẹp thành thảm họa” vì lựa chọn sai địa chỉ, bác sĩ tay nghề yếu hoặc quy trình sai lệch. Đặc biệt, nhiều ca bọc sứ không đúng kỹ thuật đã gây nên hậu quả nặng nề: răng chết tủy, viêm quanh chóp, thậm chí mất luôn răng gốc.
Tình trạng này đang xảy ra phổ biến hơn bao giờ hết, đặc biệt tại các cơ sở không phép, phòng khám giá rẻ, quảng cáo làm răng “siêu tốc – siêu rẻ”. Bài viết này sẽ giúp bạn hiểu rõ vì sao cần cẩn trọng và những yếu tố nào quyết định sự an toàn cho một ca bọc răng sứ.
2. NGUYÊN NHÂN KHIẾN RĂNG CHẾT TỦY SAU BỌC SỨ
2.1. Mài răng quá nhiều
Một trong những nguyên nhân phổ biến khiến răng bị chết tủy là do mài răng sai kỹ thuật, mài quá sâu vào lớp ngà hoặc sát đến buồng tủy. Điều này khiến răng trở nên nhạy cảm, dễ bị viêm tủy và đau âm ỉ kéo dài. Việc mài răng không đúng tỷ lệ có thể khiến răng yếu đi nhanh chóng và mất khả năng tự bảo vệ.
2.2. Sử dụng mão sứ không tương thích
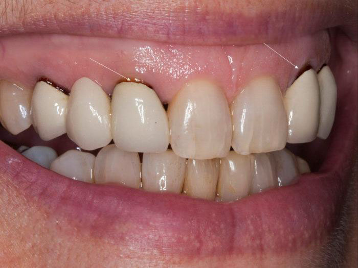
Nếu mão sứ chế tác không sát khít, bị cộm hoặc hở viền, vi khuẩn và thức ăn dễ xâm nhập, gây viêm nướu, viêm quanh chóp. Tình trạng viêm kéo dài sẽ ảnh hưởng đến tủy răng và gây hoại tử. Đặc biệt là những mão sứ được sản xuất bằng công nghệ thủ công, không được kiểm tra trên phần mềm thiết kế nụ cười 3D, rất dễ gây ra sai lệch.
2.3. Gắn sứ quá nhanh, bỏ qua kiểm tra tủy
Một số nơi làm răng sứ “cấp tốc” không kiểm tra tủy, không chụp phim kỹ thuật số trước khi mài răng. Việc này khiến bác sĩ bỏ sót những răng có nguy cơ viêm tủy tiềm ẩn hoặc mài răng khi chưa đủ chỉ định. Điều này cũng khiến người bệnh không có thời gian suy nghĩ hoặc cân nhắc phương án phù hợp nhất.
2.4. Không kiểm soát khớp cắn sau khi gắn sứ
Nếu mặt nhai của răng sứ không được chỉnh khớp cắn đúng, lực nhai bị dồn lên một điểm, lâu ngày sẽ gây chấn thương tủy hoặc viêm quanh chân răng. Răng sẽ bị ê buốt kéo dài và thậm chí có thể sụp xuống nếu lực nhai không phân bổ đều.

3. DẤU HIỆU NHẬN BIẾT RĂNG BỊ CHẾT TỦY SAU BỌC SỨ
- Răng đau âm ỉ sau khi gắn sứ 1–2 tuần
- Nhạy cảm bất thường với nóng – lạnh, thức ăn ngọt
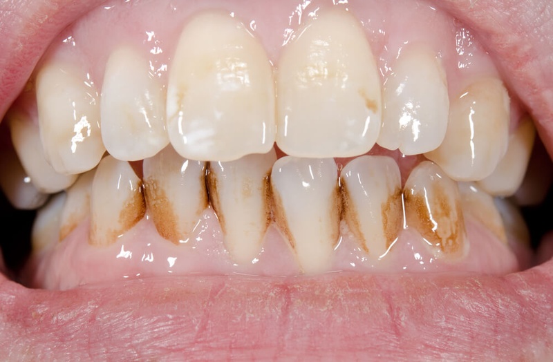
- Đổi màu răng (xám, đen)
- Hôi miệng, viêm nướu quanh viền răng sứ
- Sưng nướu, đau nhức dữ dội hoặc xuất hiện áp xe quanh chân răng
Ngoài các dấu hiệu trên, bệnh nhân còn có thể cảm thấy răng yếu hơn rõ rệt khi nhai, thậm chí mất cảm giác với lực nhai như răng bình thường. Đó là dấu hiệu của mất tủy hoàn toàn.
Nếu có bất kỳ dấu hiệu nào như trên, bạn cần đi khám ngay lập tức để xác định tình trạng tủy và xử lý sớm.
4. HẬU QUẢ KHI RĂNG ĐÃ CHẾT TỦY
Một khi răng đã chết tủy, răng mất đi chức năng sinh học, không còn cảm nhận lực nhai hay nhiệt độ. Tủy chết cũng là môi trường lý tưởng cho vi khuẩn phát triển, gây viêm nhiễm và tiêu xương ổ răng.
Không chỉ gây đau nhức kéo dài, răng chết tủy sẽ yếu dần và dễ gãy vỡ. Trong nhiều trường hợp, bệnh nhân buộc phải nhổ bỏ răng và làm lại bằng implant hoặc cầu răng, gây tốn kém và ảnh hưởng lâu dài đến chức năng ăn nhai.
Đặc biệt, khi nhổ bỏ răng chết tủy không kịp thời, xương hàm tại vị trí đó sẽ tiêu đi nhanh chóng khiến việc trồng răng mới gặp nhiều khó khăn, thậm chí phải ghép xương hoặc can thiệp kỹ thuật phức tạp hơn.
[răng sứ rẻ, hỏng, đen nướu,…]
5. GIẢI PHÁP NGĂN NGỪA: ĐỪNG CHỈ CHỌN NƠI LÀM SỨ VÌ GIÁ RẺ
Muốn có răng sứ đẹp, an toàn và bền lâu, bạn cần cân nhắc kỹ về địa chỉ điều trị. Hãy lựa chọn:
- Cơ sở có bác sĩ chuyên sâu về phục hình
- Có trang thiết bị hiện đại, chụp phim kỹ thuật số, máy scan dấu răng
- Có quy trình kiểm tra tủy, mô phỏng thiết kế trước khi làm
- Vật liệu sứ rõ nguồn gốc, được kiểm định y tế
Bên cạnh đó, người dùng cũng cần tỉnh táo trước những quảng cáo làm răng giá rẻ, chiết khấu “khủng”, thời gian làm quá nhanh chỉ trong vài tiếng hoặc trong ngày. Điều này có thể đánh đổi bằng cả sức khỏe răng miệng về sau.

6. BỆNH VIỆN RHM WORLDWIDE – CHUẨN MỰC TRONG MỖI CA BỌC RĂNG SỨ
Tại Bệnh viện RHM Worldwide, mọi ca bọc sứ đều tuân theo quy trình kiểm soát chặt chẽ, nhằm bảo tồn răng thật tối đa:
- Chụp phim CT Cone Beam 3D để kiểm tra tủy, chân răng, khớp cắn
- Scan iTero 5D, 3Shape lấy dấu răng chính xác mà không cần lấy dấu thạch cao
- Thiết kế nụ cười cá nhân hóa, đảm bảo hài hòa và thẩm mỹ tối đa
- Chế tác răng tại phòng Labo in-house, kiểm soát chất lượng nhanh chóng
- Đảm bảo bảo hành và chăm sóc sau điều trị đầy đủ
Đội ngũ bác sĩ tại Bệnh viện RHM Worldwide đều được đào tạo bài bản, có kinh nghiệm xử lý các ca phục hình phức tạp, phục hình trên răng đã lấy tủy, phục hình thẩm mỹ toàn hàm, chỉnh hình nụ cười lệch… Nhờ đó, khách hàng không chỉ được làm răng đẹp mà còn duy trì độ bền lâu dài và an toàn sức khỏe.

7. KẾT LUẬN
Đẹp – nhưng phải bền vững. Thẩm mỹ – nhưng không được đánh đổi bằng rủi ro.
Bọc răng sứ sai kỹ thuật không chỉ làm mất răng thật mà còn ảnh hưởng đến sức khỏe tổng thể. Hãy chọn nơi đúng, bác sĩ đúng và vật liệu đúng để giữ gìn nụ cười của bạn an toàn lâu dài. Bệnh viện Răng Hàm Mặt Worldwide – Địa chỉ bọc răng sứ chuẩn quốc tế, nơi bạn có thể yên tâm giao phó nụ cười.
Bài viết được tham vấn bởi bác sĩ Ái Thiện – Bệnh viện RHM Worldwide.
English