1/ Vì sao cần quan tâm đến chỉnh nha sớm?
Nhiều phụ huynh nghĩ rằng việc niềng răng chỉ cần thiết khi trẻ đã thay hết răng vĩnh viễn. Tuy nhiên, nha khoa hiện đại chứng minh rằng can thiệp chỉnh nha từ sớm có thể tận dụng sự phát triển tự nhiên của xương hàm để định hình nụ cười và khớp cắn khỏe mạnh cho trẻ.
Điều này không chỉ giúp răng mọc thẳng hàng hơn mà còn giảm nguy cơ phải nhổ răng hoặc phẫu thuật hàm khi trưởng thành.

Nguồn: Huttasmiles.com
2/ Chỉnh nha sớm – chỉnh nha tăng trưởng là gì?
- Chỉnh nha sớm: Can thiệp khi trẻ vẫn còn răng sữa hoặc đang trong giai đoạn hỗn hợp (cả răng sữa và răng vĩnh viễn).
- Chỉnh nha tăng trưởng (Biogressive): Là phương pháp hướng dẫn sự phát triển của xương hàm và răng dựa trên đặc điểm sinh học của từng trẻ.
Có thể hình dung, thay vì “chờ răng mọc lệch rồi mới sửa”, bác sĩ sẽ dẫn đường cho sự phát triển, giúp răng và xương hàm “đi đúng quỹ đạo” ngay từ đầu.
3/ Lợi ích của chỉnh nha sớm
- Phát triển hài hòa xương hàm: Ngăn chặn hoặc giảm mức độ hẹp hàm, lệch lạc.
- Đảm bảo chức năng nhai – thở – phát âm: Trẻ dễ dàng ăn nhai và nói chuyện chuẩn xác hơn.
- Cải thiện thẩm mỹ gương mặt: Giúp gương mặt cân đối, nụ cười tự nhiên.
- Tạo không gian cho răng vĩnh viễn mọc thẳng hàng: Giảm nguy cơ chen chúc răng.
- Giảm chi phí và thời gian niềng răng sau này: Can thiệp sớm thường đơn giản hơn, ít phức tạp hơn.

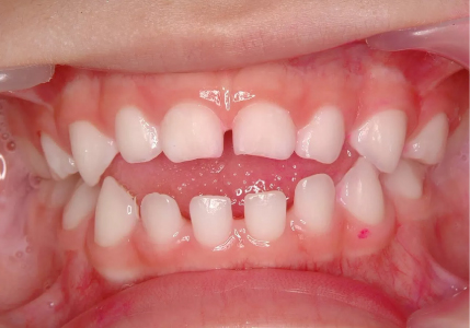
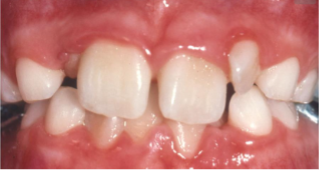
4/ Những dấu hiệu phụ huynh cần lưu ý
Nếu bé có các biểu hiện sau, cha mẹ nên đưa trẻ đi khám sớm:
- Há miệng thở thường xuyên, ngáy khi ngủ
- Khớp cắn ngược (răng dưới chìa ra trước)
- Khớp cắn hở (khi cắn lại vẫn hở khe giữa răng trước)
- Nghiến răng hoặc cắn môi, mút tay kéo dài
- Hàm hẹp, răng mọc chen chúc rõ rệt

Nguồn: Myfaceology

Nguồn: sarkissiandds

Nguồn: kidsdentalonline

Nguồn: Contemporary Orthodontics, 7th edition

Nguồn: Contemporary Orthodontics, 7th edition
5/ Thời điểm vàng để chỉnh nha sớm
Theo khuyến cáo, trẻ từ 6–10 tuổi là “giai đoạn vàng” để thăm khám và can thiệp nếu cần. Đây là lúc xương hàm còn mềm, dễ điều chỉnh, giúp kết quả hiệu quả và ổn định hơn.
6/ Các phương pháp chỉnh nha sớm – tăng trưởng
- Khí cụ tháo lắp (hàm trainer, hàm mở rộng): hỗ trợ định hướng phát triển xương hàm.
- Khí cụ cố định đơn giản (face mask, TPA, RPE, MARPE): dùng khi cần kiểm soát hoặc mở rộng xương hàm.
- Theo dõi và hướng dẫn thói quen: loại bỏ mút tay, đẩy lưỡi, cắn môi.

Nguồn: Align Orthodontics

Nguồn: Invisalign.com
- Niềng răng mắc cài sớm: Áp dụng cho trẻ trong giai đoạn răng hỗn hợp, giúp sắp xếp các răng lệch lạc, định hướng răng mọc thẳng. Ưu điểm là kiểm soát tốt và phù hợp với nhiều trường hợp phức tạp.
- Invisalign First: Công nghệ khay trong suốt thiết kế riêng cho trẻ em từ 6–10 tuổi. Invisalign First vừa nhẹ nhàng, thẩm mỹ, vừa có thể mở rộng hàm và tạo chỗ cho răng vĩnh viễn mọc lên đúng vị trí.


Nguồn: Contemporary Orthodontics (7th edition) và Invisalign.com
Q&A: Phụ huynh thường thắc mắc:
Chỉnh nha sớm rồi sau này có cần chỉnh toàn diện nữa không?
Đây là thắc mắc rất thường gặp. Câu trả lời là:
- Có thể cần chỉnh toàn diện bằng mắc cài hoặc Invisalign khi trẻ lớn, nhưng mức độ thường nhẹ nhàng hơn rất nhiều.
- Với những ca răng chen chúc, hẹp hàm, cắn chéo… nếu không can thiệp sớm, khi xương hàm đã cứng thì điều trị sẽ khó khăn hơn, đôi khi phải nhổ răng hoặc can thiệp phẫu thuật.
- Nếu can thiệp sớm, xương hàm được định hướng phát triển đúng, răng vĩnh viễn có chỗ để mọc thẳng hàng. Nhờ vậy, khi đến giai đoạn chỉnh toàn diện (nếu cần), thời gian điều trị ngắn hơn, ít đau hơn, chi phí cũng thấp hơn.
Có thể hình dung: chỉnh nha sớm giống như “dẫn đường” cho sự phát triển xương hàm. Nhờ can thiệp đúng lúc, nhiều trường hợp hô xương hay móm xương có thể tránh được phẫu thuật sau này. Khi trẻ trưởng thành, việc chỉnh nha chỉ còn là tinh chỉnh thẩm mỹ, không cần can thiệp lớn.
Vì sao nên chỉnh nha sớm thay vì chờ thay hết răng?
- Tận dụng thời kỳ vàng của xương hàm: Giai đoạn 6–10 tuổi, xương hàm mềm dẻo, dễ mở rộng và điều chỉnh. Sau 12–13 tuổi, xương bắt đầu cứng, can thiệp sẽ khó và kém hiệu quả hơn.
- Ngăn chặn sai lệch tiến triển nặng hơn: Một khớp cắn ngược nhỏ nếu không điều chỉnh có thể trở thành sai khớp nghiêm trọng khi trưởng thành.
- Cải thiện chức năng sống hàng ngày: Bé ăn nhai, phát âm, thở tốt hơn, ngủ sâu giấc hơn.
- Hỗ trợ tâm lý và tự tin: Một nụ cười đẹp, khuôn mặt cân đối giúp bé tự tin trong học tập và giao tiếp.
- Giảm thiểu can thiệp phức tạp về sau: Tránh nhổ răng, hạn chế nguy cơ phẫu thuật chỉnh hàm.

Nguồn: Class III treatment by combining facemask (FM) and maxillary skeletal expander (MSE), Won Moon, Seminar in Orthodontics 2018
Lời khuyên cho phụ huynh
- Đưa trẻ đi khám răng định kỳ từ 6 tuổi để kịp thời phát hiện vấn đề.
- Không nên chờ đến khi răng vĩnh viễn mọc đủ mới đi khám chỉnh nha.
- Hãy nhớ: “Phát hiện sớm – can thiệp đúng lúc” chính là chìa khóa cho nụ cười đẹp bền lâu.
Chỉnh nha sớm – chỉnh nha tăng trưởng không chỉ là sửa răng mà còn là định hướng sự phát triển toàn diện của răng hàm mặt. Đây chính là món quà cha mẹ có thể trao cho con, giúp con có nụ cười khỏe đẹp, tự tin suốt đời.
Nếu bạn đang băn khoăn về tình trạng răng của bé, hãy đưa con đến khám chuyên khoa chỉnh nha. Việc thăm khám sớm không bao giờ là thừa – nó có thể thay đổi cả tương lai nụ cười của trẻ.
English
