Cấy implant bị viêm hoặc lỏng là biến chứng nguy hiểm nếu không phát hiện sớm. Cùng Bệnh viện RHM Worldwide tìm hiểu dấu hiệu cảnh báo, nguyên nhân và cách xử lý đúng để bảo vệ sức khỏe răng miệng lâu dài.

GIỚI THIỆU VẤN ĐỀ: ĐỪNG CHỦ QUAN SAU KHI CẤY IMPLANT
Cấy implant là giải pháp nha khoa tiên tiến giúp phục hồi răng mất với khả năng ăn nhai và thẩm mỹ tự nhiên như răng thật. Tuy nhiên, không ít người sau khi hoàn tất điều trị lại chủ quan, không tái khám hoặc vệ sinh đúng cách, dẫn đến biến chứng viêm quanh implant hoặc trụ bị lỏng.
Điều đáng nói là những dấu hiệu này ban đầu thường rất nhẹ, khiến nhiều người bỏ qua cho đến khi implant lung lay hoặc đau nhức nghiêm trọng. Khi đó, việc điều trị sẽ trở nên phức tạp, thậm chí có nguy cơ phải tháo bỏ trụ.
Vậy làm sao để nhận biết sớm implant bị viêm hoặc lỏng, và khi nào cần đi khám ngay?
NHỮNG DẤU HIỆU NHẬN BIẾT IMPLANT BỊ VIÊM HOẶC LỎNG
1. Đau hoặc ê buốt kéo dài sau khi cấy implant
Cảm giác đau nhẹ là bình thường trong vài ngày đầu sau khi cấy implant. Nhưng nếu tình trạng đau, nhức hoặc ê buốt kéo dài hơn 1–2 tuần, có thể đó là dấu hiệu trụ chưa tích hợp vững với xương hoặc vùng quanh implant đang bị viêm.
2. Sưng đỏ, chảy máu và có mùi hôi quanh trụ implant
Khi mô nướu quanh trụ bị nhiễm khuẩn, bạn có thể nhận thấy vùng nướu sưng đỏ, chảy máu khi chải răng và hơi thở có mùi. Đây là dấu hiệu sớm của viêm quanh implant (peri-implantitis) – tương tự như viêm nha chu ở răng thật.
3. Implant lung lay khi ăn nhai hoặc chạm nhẹ
Implant được cấy trực tiếp vào xương hàm nên trong điều kiện bình thường, nó hoàn toàn cố định. Nếu bạn cảm nhận được sự dịch chuyển nhẹ hoặc cảm giác “lỏng lẻo” khi nhai, đó là cảnh báo implant đã mất liên kết với xương.
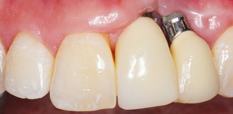
4. Tụt nướu, lộ trụ kim loại hoặc thay đổi vị trí mão sứ
Hiện tượng nướu co rút hoặc mão sứ lộ cổ kim loại có thể do viêm kéo dài khiến xương tiêu và mô nướu bị tổn thương. Nếu để lâu, implant sẽ mất hoàn toàn sự nâng đỡ.
5. Kết quả chụp X-quang cho thấy tiêu xương quanh trụ
Đây là dấu hiệu rõ ràng nhất cho thấy implant đang gặp vấn đề. Khi xương tiêu dần quanh trụ, implant sẽ yếu đi, gây đau và giảm khả năng chịu lực khi ăn nhai.

NGUYÊN NHÂN KHIẾN IMPLANT BỊ VIÊM HOẶC LỎNG
1. Do vệ sinh răng miệng không đúng cách
Sau khi cấy implant, việc chải răng không kỹ, không dùng chỉ nha khoa hoặc máy tăm nước sẽ khiến mảng bám tích tụ quanh nướu. Vi khuẩn phát triển gây viêm, dẫn đến tiêu xương quanh trụ.
2. Không tái khám và bảo trì implant định kỳ
Bác sĩ thường khuyến cáo nên tái khám 3–6 tháng/lần để kiểm tra tình trạng mô quanh implant và vệ sinh chuyên sâu. Nếu bỏ qua, các vấn đề viêm hoặc lỏng sẽ không được phát hiện sớm.
3. Kỹ thuật cấy hoặc vật liệu implant không đạt chuẩn
Implant được đặt sai vị trí, lực vặn trụ không chuẩn hoặc trụ implant kém chất lượng dễ dẫn đến thất bại. Ngoài ra, nếu phục hình sứ không chuẩn khớp cắn, lực nhai phân bố không đều cũng khiến trụ bị lung lay theo thời gian.
4. Mật độ xương yếu hoặc không đủ xương nâng đỡ
Một số trường hợp mất răng lâu ngày khiến xương hàm tiêu, nhưng không được ghép xương trước khi cấy. Khi đó, trụ implant khó tích hợp ổn định, dẫn đến viêm và lỏng sớm.
5. Ảnh hưởng từ các bệnh lý toàn thân
Người bị tiểu đường, loãng xương, hoặc đang dùng thuốc ức chế miễn dịch có nguy cơ cao bị viêm quanh implant do khả năng hồi phục mô xương và mô mềm kém.
BIẾN CHỨNG NGUY HIỂM KHI KHÔNG ĐIỀU TRỊ KỊP THỜI
1. Tiêu xương hàm quanh trụ implant
Viêm không được điều trị sẽ phá hủy xương quanh implant, khiến trụ mất liên kết và khó phục hồi.
2. Mất hoàn toàn implant và mô nướu xung quanh
Khi trụ bị lỏng nghiêm trọng, bác sĩ buộc phải tháo bỏ để tránh lan nhiễm. Việc cấy lại implant sau đó sẽ khó hơn và tốn kém hơn nhiều.
3. Lây lan viêm sang răng thật và mô mềm
Nhiễm trùng quanh implant có thể lan sang răng kế cận, gây viêm nha chu, hôi miệng hoặc áp-xe nướu.
4. Ảnh hưởng thẩm mỹ và khớp cắn
Implant mất ổn định làm thay đổi vị trí mão sứ, gây lệch khớp cắn và ảnh hưởng thẩm mỹ toàn hàm.

CÁCH XỬ LÝ KHI IMPLANT BỊ VIÊM HOẶC LỎNG
1. Thăm khám và chụp CT 3D xác định tình trạng implant
Bước đầu tiên, bác sĩ sẽ tiến hành chụp CT Cone Beam 3D để đánh giá mức độ tích hợp xương, phát hiện vùng tiêu xương hoặc viêm nhiễm xung quanh trụ.
2. Làm sạch và điều trị kháng khuẩn quanh trụ implant
Tùy theo mức độ viêm, bác sĩ có thể vệ sinh bằng dụng cụ chuyên biệt, laser hoặc dùng thuốc kháng sinh, kháng viêm để kiểm soát nhiễm khuẩn.
3. Chỉnh sửa hoặc thay thế phục hình nếu sai khớp cắn
Trường hợp implant bị lỏng do mão sứ hoặc khớp cắn sai, bác sĩ sẽ tháo phục hình để điều chỉnh, giúp giảm áp lực lên trụ.
4. Thay trụ implant mới (nếu mất liên kết xương)
Khi implant đã mất ổn định, bác sĩ có thể phải tháo trụ cũ, ghép xương tái tạo và đặt trụ mới sau khi mô lành hoàn toàn.
5. Theo dõi và hướng dẫn chăm sóc lại sau điều trị
Sau khi xử lý, người bệnh cần tuân thủ hướng dẫn chăm sóc: súc miệng nước muối, dùng chỉ nha khoa, không hút thuốc và tái khám đúng hẹn.
PHÒNG NGỪA IMPLANT BỊ VIÊM HOẶC LỎNG HIỆU QUẢ
1. Chải răng đúng cách và vệ sinh kỹ quanh implant
Dùng bàn chải lông mềm, chải nhẹ quanh trụ implant và nướu. Kết hợp chỉ nha khoa hoặc máy tăm nước để làm sạch mảng bám ở vùng kẽ.
2. Duy trì thói quen tái khám định kỳ
Tái khám 3–6 tháng/lần giúp bác sĩ phát hiện sớm các thay đổi bất thường, điều chỉnh kịp thời trước khi xảy ra biến chứng.
3. Hạn chế thuốc lá và rượu bia
Nicotine làm giảm lưu thông máu ở nướu, khiến implant dễ viêm và chậm lành. Hạn chế thuốc lá là cách bảo vệ implant tốt nhất.
4. Lựa chọn bác sĩ và cơ sở chuyên sâu implant
Kinh nghiệm bác sĩ, công nghệ chẩn đoán 3D và môi trường vô khuẩn là những yếu tố then chốt giúp implant thành công và bền vững.

ĐIỀU TRỊ VÀ BẢO DƯỠNG IMPLANT TẠI BỆNH VIỆN RHM WORLDWIDE
1. Đội ngũ bác sĩ chuyên sâu phục hồi implant quốc tế
Các bác sĩ tại Bệnh viện RHM Worldwide có nhiều năm kinh nghiệm trong phẫu thuật implant, thường xuyên tham dự hội nghị quốc tế như AO Seattle, đảm bảo kỹ thuật cấy chính xác và an toàn tuyệt đối.
2. Ứng dụng công nghệ 3D và hệ thống CT Cone Beam hiện đại
Công nghệ chẩn đoán hình ảnh 3D giúp bác sĩ xác định vị trí, góc độ và mật độ xương chính xác trước khi đặt trụ, giảm thiểu biến chứng sau cấy.
3. Phòng phẫu thuật vô khuẩn tuyệt đối – tiêu chuẩn quốc tế
Hệ thống phòng mổ của Worldwide tuân thủ nghiêm ngặt quy trình kiểm soát nhiễm khuẩn, đảm bảo môi trường vô trùng tuyệt đối trong mọi ca phẫu thuật.
4. Chính sách bảo hành và chăm sóc trọn đời cho khách hàng
Bệnh viện RHM Worldwide cam kết theo dõi định kỳ sau khi cấy implant, hướng dẫn khách hàng cách chăm sóc, bảo trì và vệ sinh implant đúng chuẩn để duy trì tuổi thọ lâu dài.

KẾT LUẬN
Implant bị viêm hoặc lỏng không chỉ ảnh hưởng đến khả năng ăn nhai mà còn đe dọa toàn bộ cấu trúc xương hàm nếu không xử lý kịp thời. Việc nhận biết sớm dấu hiệu và đến khám tại cơ sở chuyên khoa là cách duy nhất để bảo vệ sức khỏe răng miệng lâu dài.
Bệnh viện RHM Worldwide tự hào là địa chỉ điều trị và phục hồi implant hàng đầu, với đội ngũ bác sĩ chuyên sâu, công nghệ hiện đại và quy trình chăm sóc trọn đời – giúp bạn luôn tự tin với nụ cười khỏe mạnh, bền vững theo thời gian.
DẤU HIỆU CẢNH BÁO IMPLANT BỊ VIÊM
| Dấu hiệu | Mức độ nguy hiểm | Hướng xử lý khuyến nghị |
| Đau hoặc ê kéo dài >7 ngày | Trung bình | Tái khám, chụp CT kiểm tra |
| Chảy máu, sưng đỏ, hôi miệng | Cao | Làm sạch chuyên sâu, điều trị kháng viêm |
| Lung lay, lộ trụ kim loại | Rất cao | Khám ngay, có thể cần tháo và thay trụ |
| Tụt nướu, tiêu xương | Nguy hiểm | Phẫu thuật tái tạo, điều trị phục hồi implant |
English