Răng sứ giá rẻ có thật sự là lựa chọn thông minh? Bài viết phân tích những rủi ro tiềm ẩn của răng sứ kém chất lượng và lý do nên đầu tư đúng nơi, đúng kỹ thuật để bảo vệ sức khỏe răng miệng lâu dài.

1. MỞ ĐẦU: ĐỪNG ĐỂ “GIÁ RẺ” ĐÁNH LỪA SỰ AN TOÀN CỦA BẠN
Bọc răng sứ là một giải pháp phục hình và thẩm mỹ nha khoa phổ biến, giúp cải thiện cả về hình dáng, màu sắc và chức năng răng. Tuy nhiên, khi thị trường xuất hiện tràn lan những quảng cáo bọc sứ giá rẻ, chỉ từ vài trăm nghìn đến vài triệu đồng/răng, nhiều người đã “vội vàng” lựa chọn mà không lường trước hậu quả.
Đằng sau mức giá tưởng chừng “hời” ấy là hàng loạt nguy cơ tiềm ẩn: răng đau nhức, viêm lợi, hỏng răng thật, thậm chí mất răng. Quan trọng hơn, những biến chứng này không thể khắc phục đơn giản, và có thể khiến bạn phải chi trả nhiều hơn gấp nhiều lần để điều trị lại.
2. RĂNG SỨ GIÁ RẺ LÀ GÌ? VÌ SAO LẠI RẺ?
Trên thị trường hiện nay, có rất nhiều loại răng sứ với mức giá khác nhau, dao động từ vài triệu đến hàng chục triệu đồng mỗi răng. Sự chênh lệch này phụ thuộc vào:
2.1. Chất liệu sứ sử dụng
Nhiều cơ sở quảng cáo bọc sứ giá rẻ nhưng lại sử dụng sứ kim loại thường, không rõ nguồn gốc xuất xứ, hoặc hàng trôi nổi không đạt chuẩn nha khoa. Loại sứ này dễ bị oxy hóa, gây đen viền lợi, hôi miệng và phản ứng viêm.
2.2. Không đầu tư vào công nghệ và tay nghề
Một số nơi cắt giảm chi phí bằng cách không chụp phim, không lấy dấu kỹ thuật số, không mô phỏng thiết kế nụ cười. Bác sĩ thiếu kinh nghiệm hoặc không chuyên sâu về phục hình sứ cũng dễ gây sai lệch khi mài răng hoặc gắn sứ.
2.3. Thời gian điều trị gấp gáp
Nhiều nơi quảng cáo bọc sứ “cấp tốc” chỉ trong vài giờ đến 1 ngày, nhưng bỏ qua các bước kiểm tra tủy, phân tích khớp cắn, hoặc thử sứ. Điều này dễ dẫn đến răng bị cộm, vỡ sứ, đau dai dẳng sau khi gắn.

3. NHỮNG BIẾN CHỨNG KHÔN LƯỜNG TỪ RĂNG SỨ GIÁ RẺ
3.1. Răng ê buốt kéo dài, đau nhức khi ăn nhai
Khi răng sứ không được chế tác đúng kỹ thuật hoặc bác sĩ mài răng quá nhiều, quá sát tủy, sẽ khiến răng thật nhạy cảm, đau buốt khi ăn đồ nóng – lạnh. Trong nhiều trường hợp, răng bị đau mãn tính và phải điều trị tủy hoặc nhổ bỏ.
3.2. Viêm lợi, đen viền nướu
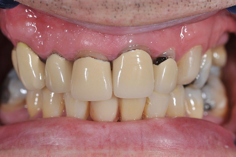
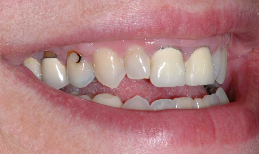
Răng sứ giá rẻ thường có độ sát khít kém, khiến thức ăn giắt lại ở viền răng, gây viêm lợi, hôi miệng. Nếu dùng sứ kim loại, sau một thời gian phần kim loại bị oxy hóa, khiến vùng nướu chuyển sang màu thâm đen, mất thẩm mỹ nghiêm trọng.
3.3. Hỏng răng thật, tiêu xương ổ răng
Sai sót trong thao tác mài răng hoặc lắp mão sứ không đúng kỹ thuật có thể làm tổn thương răng thật nghiêm trọng. Răng thật bị viêm tủy, chết tủy sẽ yếu dần, không còn chức năng sinh học và dễ lung lay, gãy rụng. Một số trường hợp còn gây tiêu xương hàm nếu viêm nhiễm lan rộng.
3.4. Mất thẩm mỹ, lệch khớp cắn
Răng sứ làm vội, không thiết kế nụ cười kỹ càng sẽ khiến răng bị to nhỏ không đều, màu sắc không tự nhiên, không cân xứng với khuôn mặt. Ngoài ra, nếu sứ sai khớp cắn, người bệnh có thể bị đau thái dương hàm, khó ăn nhai hoặc phát âm không chuẩn.
4. VÌ SAO NÊN ĐẦU TƯ LÀM RĂNG SỨ ĐÚNG CHỖ NGAY TỪ ĐẦU?
Nụ cười là “tấm danh thiếp” của mỗi người – ảnh hưởng trực tiếp đến vẻ ngoài, sự tự tin và giao tiếp hằng ngày. Một lựa chọn sai lầm khi làm răng sứ có thể dẫn đến hậu quả kéo dài nhiều năm, thậm chí không thể phục hồi được.
Đầu tư đúng từ đầu giúp bạn:
- Tránh được biến chứng đau nhức, nhiễm trùng, mất răng
- Đảm bảo thẩm mỹ chuẩn gương mặt, không phải làm lại nhiều lần
- Duy trì tuổi thọ răng sứ dài hơn (trung bình 10–20 năm nếu đúng kỹ thuật)
- An tâm với sự hỗ trợ từ bác sĩ và dịch vụ hậu mãi đầy đủ

5. LỰA CHỌN ĐÚNG: BỆNH VIỆN RHM WORLDWIDE – ĐỊA CHỈ UY TÍN CHO PHỤC HÌNH RĂNG SỨ
5.1. Đội ngũ bác sĩ chuyên sâu phục hình
Bệnh viện RHM Worldwide hội tụ các bác sĩ phục hình sứ thẩm mỹ giàu kinh nghiệm, từng thực hiện hàng ngàn ca phục hình từ đơn giản đến phức tạp. Mỗi bác sĩ đều có khả năng phân tích nụ cười, xác định khớp cắn lý tưởng và tư vấn loại sứ phù hợp với từng trường hợp cụ thể.
5.2. Trang thiết bị hiện đại hỗ trợ chẩn đoán và chế tác
Tại Bệnh viện RHM Worldwide, mọi ca bọc sứ đều được thực hiện với:
- Máy chụp CT Cone Beam 3D kiểm tra cấu trúc răng – xương – tủy
- Máy quét dấu răng iTero 5D, 3Shape chính xác từng micron
- Phòng Labo In-house với công nghệ CAD/CAM chế tác răng sứ tự động
Nhờ đó, quy trình làm răng chỉ cần 2–3 lần hẹn, đảm bảo nhanh chóng nhưng vẫn đạt độ chính xác cao.
5.3. Vật liệu sứ cao cấp, nguồn gốc rõ ràng
Worldwide sử dụng các dòng sứ toàn sứ nổi tiếng như Zirconia, HT Smile, Emax, nhập khẩu từ Đức, Thụy Sĩ, Mỹ… Tất cả đều có chứng nhận an toàn, khả năng phản quang gần giống men răng thật và được bảo hành rõ ràng.
5.4. Mô phỏng kết quả trước khi thực hiện
Trước khi mài răng, khách hàng được mô phỏng nụ cười bằng phần mềm Smile Design, từ đó hình dung rõ màu sắc – hình dáng – độ dài răng phù hợp với gương mặt. Nhờ đó, khách hàng hoàn toàn chủ động trong lựa chọn, không còn cảm giác “làm xong rồi mới biết đẹp hay không”.
6. KẾT LUẬN: GIÁ RẺ KHÔNG BAO GIỜ LÀ GIẢI PHÁP AN TOÀN CHO NỤ CƯỜI
Răng sứ giá rẻ có thể hấp dẫn ở thời điểm ban đầu, nhưng những hậu quả về sau thường rất nặng nề và khó khắc phục. Hãy nhớ rằng, nụ cười là khoản đầu tư dài hạn – đừng vì tiết kiệm tạm thời mà đánh đổi sức khỏe răng miệng cả đời.
Nếu bạn đang cân nhắc phục hình răng sứ, hãy lựa chọn địa chỉ uy tín như Bệnh viện RHM Worldwide, nơi hội tụ đầy đủ bác sĩ – công nghệ – vật liệu – bảo hành, giúp bạn sở hữu nụ cười đẹp, an toàn và bền vững theo thời gian.
Bài viết được tham vấn bởi bác sĩ Ái Thiện – Bệnh viện RHM Worldwide.
English